門診表
| 時間 / 星期 | 星期一 | 星期二 | 星期三 | 星期四 | 星期五 | 星期六 |
|---|---|---|---|---|---|---|
| 09:00-12:30 | 錢蕙 | 陳虹君 | ||||
| 14:00-18:00 | 錢蕙 | 陳虹君 | ||||
| 18:30-21:00 | 錢蕙 |
表格資訊請左右滑動
美日牙醫 - 顯微根管治療醫師介紹

錢蕙 醫師
根管專科醫師
- 台灣大學臨床牙醫學研究所碩士
- 台大醫院牙周病科主治醫師
- 台大醫院牙周病暨植牙專科訓練
- 台大醫院牙周病科兼主治醫師
- 台大醫院北護分院牙科部主治醫師
- 中華民國口腔植體學會研究員

陳虹君 醫師
根管專科醫師
- 台灣大學臨床牙醫學研究所碩士
- 中華民國牙髓病學會專科醫師
牙齒結構介紹
牙齒最表面市礦化程度達97%為人體最硬結構的牙釉質(enamel),顏色為白灰色而略帶透明;而內層為礦化程度達70%的牙本質(dentin)顏色為淡黃色,結構較牙釉質為脆弱,但略有彈性;最內層為牙隨腔,是牙髓(pulp)所在的位置,富含血管、神經組織、對於外界的冷熱或齲齒造成的刺激,會產生酸、痛的感覺。牙齒根部的地方,包埋於齒槽骨(alveolar bone)中,且牙齒和齒槽骨間有牙周韌帶(periodontal ligament PDL)間隔。
牙髓的疾病相關
牙髓炎 (pulpitis)
牙齒因為齲齒等因素,造成牙髓受到細菌感染或是過度受到冷、熱等物理或化學刺激,會造成牙髓發炎。如果發炎沒有很嚴重,即使去除刺激來源,使牙髓恢復健康,稱為可逆性牙髓炎(revisable pulpitis);但如果發炎嚴重,即使去除刺激來源,也無法使牙髓恢復健康,則稱為不可逆性牙髓炎(irrvisable pulpitis),此時牙齒可能會有自發性,不定時的刺痛,或是受到冷熱刺激時,會導致延長超過10秒以上的痛感。
根尖周圍炎 (apical periodontitis)
當細菌感染牙髓,導致牙髓炎或牙髓壞死後,若細菌或其他產生的刺激物到達牙根尖開口處,則會造成牙齒根尖組織的發炎,進而導致根尖處骨組織的吸收,而於X光片上會顯示一圓形的黑影,此時牙齒於受力時,可能會有悶痛感。
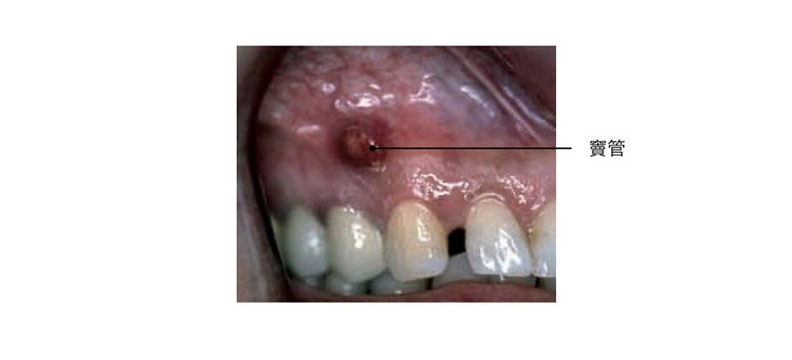
齒槽膿腫 (alveolar abscess)
若牙根尖感染較為嚴重,導致根尖周圍組織因細菌作用下,發生壞死、溶解形成膿液,則稱為齒槽膿腫,此時牙齒周圍可能會有脹痛感,但若膿液經由牙齦處形成的竇管排出時,症狀可能會緩解。
根尖囊腫 (apical cyst)
若根尖組織未經適當的治療而導致其持續發炎,有時可能會導致根尖病變產生囊腫,此時則需要合併手術處理,將囊腫挖除,才能改善病症。
根管治療 (俗稱抽神經)
當牙髓發炎或壞死時,此時需要以機械和消毒藥水,去除發炎或壞死的牙髓組織,等症狀緩解後,再將原本牙髓所在的空腔,以馬來膠(gutta percha)等材料進行緻密的封填,避免日後再次感染,此過程則稱為根管治療,俗稱抽神經。
顯微根管治療
根管治療操作範圍極為狹小,過程中可能會遭遇異物堵塞、狹窄鈣化、穿孔、分岔、帶狀根管、或前次治療發生特殊困難等,牙醫師一般憑著肉眼或本身手感來做處理,容易因為視野不清楚或沒有適合的器械而導致有些感染區域未徹底清潔到貨移除掉過多齒質等等。
牙科專用顯微鏡可提供照明及放大,搭配專用超音波等特殊器械,可協助牙髓病專科醫師解決上述困難。亦可增進清潔根管效率,保留更多的齒質,增加保留牙齒的機率。另外亦可協助牙醫師進行裂齒之診斷。













